티스토리 뷰
기흉은 갑작스러운 가슴 통증과 호흡 곤란을 유발할 수 있는 폐 관련 질환으로, 특히 젊은 층에서 흔히 발생할 수 있습니다. 일부 경미한 경우에는 자연적으로 회복될 수도 있지만, 심한 경우에는 응급 치료가 필요합니다. 이 글에서는 기흉의 정의, 원인, 증상, 치료 방법 및 예방책을 자세히 알아보겠습니다.

기흉 이란?
기흉(Pneumothorax)이란 폐에서 공기가 새어나와 흉강(가슴 안의 공간)에 공기가 차는 질환입니다. 정상적인 상태에서는 폐가 흉막이라는 얇은 막에 의해 보호되며, 흉강 내부는 음압 상태를 유지합니다. 그러나 기흉이 발생하면 이 음압이 깨지고 폐가 부분적으로 혹은 완전히 쪼그라들면서 호흡곤란과 가슴 통증을 유발할 수 있습니다.
원인
자발성 기흉 : 원인 없이 갑자기 발생하는 기흉으로, 주로 마른 체형의 젊은 남성에게 흔합니다.
일차성 자발성 기흉 : 특별한 폐 질환 없이 발생.
이차성 자발성 기흉 : 폐기종, 천식, 폐결핵 등 기존 폐 질환이 있는 사람에게 발생.
외상성 기흉 : 교통사고, 낙상, 날카로운 물건에 의해 가슴이 찔리는 등의 외상으로 인해 발생.
의인성 기흉 : 의료 시술(기관 삽관, 흉부 수술, 기계 환기 등) 중에 실수로 폐에 손상을 입어 발생.
긴장성 기흉 : 공기가 계속 흉강에 축적되면서 폐뿐만 아니라 심장과 주요 혈관을 압박하여 생명을 위협하는 응급 상황.
주요 증상
갑작스러운 가슴 통증
호흡곤란 (특히 운동 시 심해짐)
마른기침
한쪽 가슴의 움직임 감소
청진 시 기흉이 발생한 부위에서 호흡음 감소
심한 경우 혈압 저하 및 청색증(산소 부족으로 입술이나 손발이 푸르게 변함)
진단 방법
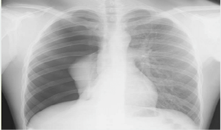
흉부 X-ray : 가장 일반적인 검사 방법으로 폐가 쪼그라든 정도를 확인.
CT 스캔 : 더 정밀한 영상이 필요한 경우 시행.
산소포화도 검사 : 혈중 산소 농도 확인.
청진 : 호흡음 감소 여부 확인.



치료 방법
경미한 기흉(자가 흡수 가능)
기흉 크기가 작고 증상이 경미한 경우, 산소 공급 및 휴식을 취하면 자연적으로 흡수될 수 있음.
산소 치료
산소 마스크를 통해 고농도 산소를 공급하여 기흉 회복 속도를 촉진.
흉관 삽입(Chest Tube Insertion)
기흉이 크거나 호흡 곤란이 심한 경우, 가슴에 작은 관(흉관)을 삽입하여 공기를 배출.
기흉 재발 방지를 위한 시술(흉막 유착술)
기흉이 반복적으로 발생하는 경우, 흉막에 약물을 주입하여 폐와 흉벽을 붙이는 방법.
수술(흉강경 수술, VATS : Video-Assisted Thoracoscopic Surgery)
기흉이 자주 재발하거나 폐의 공기 주머니(폐기포)가 큰 경우, 내시경을 이용한 수술 시행.
기흉 예방 빛 생활 습관
금연 : 흡연은 폐의 공기 주머니(폐기포)를 증가시켜 기흉 위험을 높입니다.
과격한 운동 피하기 : 기흉 후 2~3개월간 무리한 운동(웨이트 트레이닝, 다이빙 등)은 피하는 것이 좋습니다.
기압 변화 주의 : 등산, 스카이다이빙, 비행기 탑승 등 기압 변화가 큰 활동은 조심해야 합니다.
정기적인 건강 검진 : 폐 질환이 있는 경우 정기적인 검진을 통해 폐 상태를 체크하는 것이 중요합니다.
기흉은 가볍게 지나갈 수도 있지만, 심한 경우 응급 상황이 될 수 있는 질환입니다. 특히 재발이 잦다면 전문의와 상담하여 적절한 치료를 받는 것이 중요합니다. 가슴 통증이나 호흡 곤란 증상이 있다면 즉시 병원을 방문하세요!
'Health' 카테고리의 다른 글
| 목디스크 증상 7가지와 치료법 | 목통증 원인과 예방 운동 (1) | 2025.05.22 |
|---|---|
| 크론병 : 정의, 원인, 증상, 진단 및 치료 방법 등 (2) | 2025.05.14 |
| 미주신경성 실신 : 정의, 원인, 증상, 진단, 치료 및 관리방법 (0) | 2025.02.18 |
| 저속 노화(Slow Aging) : 정의, 노화원인, 생활습관, 식단, 식사법 등 (2) | 2025.02.17 |
| 매독 : 정의, 원인과 전파경로, 증상, 진단, 치료 및 관리 방법, 합병증 (0) | 2025.02.17 |