티스토리 뷰
편도선은 양쪽에 하나씩 인후 뒤쪽에 위치한 한 쌍의 연조직 덩어리입니다. 이 아몬드 모양의 구조는 입과 코를 통해 들어오는 병원균에 대한 첫 번째 방어선 역할을 하는 면역 체계에서 중요한 역할을 합니다. 편도선은 중요한 목적을 수행하지만 때때로 다양한 장애로 인해 문제의 원인이 될 수 있습니다. 이 블로그 게시물에서는 편도선의 기능, 편도선과 관련된 일반적인 장애 및 사용 가능한 치료 옵션에 대해 알아봅니다.

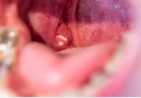
편도선이란?
편도선은 양쪽에 하나씩 인후 뒤쪽에 위치한 한 쌍의 연조직 덩어리입니다. 그들은 감염으로부터 신체를 보호하는 역할을 하는 림프계의 일부입니다. 편도선은 림프구와 같은 면역 세포를 포함하는 림프 조직으로 구성됩니다.
편도선에는 세 가지 주요 유형이 있습니다.
구개 편도선
이것은 가장 잘 알려진 편도선이며 인후 뒤쪽 양쪽에 위치합니다. 입을 크게 벌리고 거울을 보면 보입니다. 구개 편도선은 입과 코를 통해 몸에 들어오는 박테리아와 바이러스를 걸러내고 걸러내는 데 도움이 됩니다.
아데노이드(인두 편도선)
아데노이드는 인후 상부, 코 뒤 및 입천장에 위치합니다. 의료 기기를 사용하지 않으면 보이지 않습니다. 아데노이드는 특히 어린 시절에 상부 호흡기관에서 박테리아와 바이러스의 확산을 막고 예방하는 역할을 합니다.
설측 편도선
설측 편도선은 혀의 뒤쪽 표면에 있습니다. 그들은 쉽게 눈에 띄지 않으며 구개 편도선 및 아데노이드보다 덜 두드러집니다. 설측 편도선은 또한 병원균을 감지하고 퇴치하는 데 도움을 줌으로써 면역 반응에 기여합니다.
기능
감염 방어
편도선의 주요 기능은 신체를 감염으로부터 보호하는 것입니다. 그들은 신체 면역 체계의 일부로 작용하며 입과 코를 통해 몸에 들어오는 병원체에 대한 첫 번째 방어선 역할을 합니다. 편도선은 박테리아, 바이러스 및 기타 미생물을 가두어 신체에 더 이상 들어가지 못하게 합니다.
항체 생성
편도선은 유해한 병원균을 중화하고 제거하는 데 도움이 되는 단백질인 항체 생성에 관여합니다. 편도선이 박테리아나 바이러스와 같은 이물질을 만나면 해당 물질에 특정한 항체 생성을 자극합니다. 이 항체는 감염과 싸우고 동일한 병원체와의 향후 만남에 대한 면역을 제공하는 데 도움이 됩니다.
면역 세포 활성화
편도선에는 신체의 면역 반응에 중요한 역할을 하는 림프구와 같은 면역 세포가 포함되어 있습니다. 편도선이 병원균을 감지하면 이 세포가 활성화되어 감염을 제거하기 위한 면역 반응을 촉발합니다. 활성화된 면역 세포는 함께 작용하여 침입한 미생물을 식별, 파괴 및 제거합니다.
면역 체계 발달
편도선은 어린 시절에 특히 활동적이며 면역 체계의 발달과 성숙에 중요한 역할을 합니다. 그들은 면역 세포를 훈련시켜 특정 병원체를 인식하고 대응할 수 있도록 합니다. 이 면역 체계 교육은 장기적인 면역을 구축하고 다양한 감염으로부터 보호하는 데 중요합니다.
마이크로바이옴 조절
편도선은 또한 입과 목에 자연적으로 서식하는 미생물 집합체인 구강 마이크로바이옴의 조절에 기여합니다. 유익한 박테리아의 균형을 유지하면서 해로운 박테리아의 과도한 성장을 방지합니다. 이 균형은 구강 건강과 전반적인 면역 기능에 매우 중요합니다.
발생할 수 있는 문제와 증상
편도선염
편도선염은 종종 바이러스나 세균 감염에 의해 유발되는 편도선의 염증을 말합니다. 편도선염의 증상은 다음과 같습니다.
- 인후염 및 불편감
- 붉고 부은 편도선
- 편도선에 흰색 또는 노란색 패치 또는 코팅
- 삼키는 동안 어려움이나 통증
- 목의 림프절 부종
- 발열과 오한
- 두통과 몸살
- 구취
- 음성 변경 또는 숨 막히는 음성
편도선 비대(증)
편도선 비대증이라고도 하는 편도선 비대증은 재발성 감염 또는 기타 요인으로 인해 발생할 수 있습니다. 비대해진 편도선은 다음과 같은 증상을 유발할 수 있습니다.
- 코를 통한 호흡 곤란
- 수면 중 코를 골거나 크게 숨을 쉬는 경우
- 낮 동안 빈번하거나 큰 호흡
- 수면 무호흡증(수면 중 호흡이 멈춤)
- 불안한 수면과 빈번한 각성
- 목이 아프거나 불편함
- 재발성 편도선염
편도 결석(Tonsilloliths)
편도 결석은 편도선의 틈에 형성될 수 있는 작고 석회화된 침전물입니다. 그들은 박테리아, 음식 입자 및 죽은 세포로 구성됩니다. 편도선 결석은 다음과 같은 증상을 유발할 수 있습니다.
- 구취(구취)
- 목이 아프거나 불편함
- 삼키는 동안 어려움이나 통증
- 목에 뭔가 걸린 느낌
- 입안의 금속 맛
- 편도 부기 또는 발적(염증과 관련된 경우)
문제(증상) 별 치료 방법
인후염 및 불편함
처방전 없이 구입할 수 있는 진통제
이부프로펜이나 아세트아미노펜과 같은 비스테로이드성 항염증제(NSAID)는 통증을 완화하고 염증을 줄이는 데 도움이 될 수 있습니다. 권장 복용량 지침을 따르고 통증이 지속되거나 악화되면 의료 전문가와 상담하십시오.
따뜻한 소금물로 가글하기
따뜻한 물 한 잔에 소금 반 티스푼을 녹여 하루에 여러 번 가글하십시오. 이것은 인후염을 진정시키고 염증을 줄이는 데 도움이 될 수 있습니다.
삼킬 때의 어려움 또는 통증
부드러운 식단
삼키기가 더 쉬워질 때까지 수프, 요거트, 으깬 감자와 같은 부드럽고 삼키기 쉬운 음식을 고수하십시오.
자극물 피하기
목을 더 자극할 수 있는 매운 음식, 산성 음식 또는 거친 질감의 음식을 피하십시오.
수분 유지
목을 진정시키고 탈수를 예방하기 위해 특히 허브 차나 꿀을 탄 따뜻한 물과 같은 따뜻한 액체를 충분히 마십니다.
편도 결석으로 인한 구취(구취)
구강청결제로 가글하기
무알코올 구강청결제를 사용하여 숨을 상쾌하게 하고 편도결석으로 인한 냄새를 줄이는 데 도움이 됩니다.
좋은 구강 위생 실천
하루에 두 번 양치질을 철저히 하고 혀 스크레이퍼를 사용하여 혀에서 박테리아를 제거하십시오. 이렇게 하면 구취의 원인이 되는 박테리아의 축적을 줄이는 데 도움이 될 수 있습니다.
재발성 편도선염
항생제
편도선염이 세균 감염으로 인한 경우 감염을 제거하기 위해 항생제를 처방할 수 있습니다. 처방된 복용량을 따르고 항생제의 전체 과정을 완료하십시오.
진통제
처방전 없이 구입할 수 있는 진통제는 목의 통증과 불편함을 완화하는 데 도움이 될 수 있습니다. 권장 복용량 지침을 따르십시오.
편도선 비대
주의 깊은 대기
경우에 따라, 특히 심각한 증상이나 합병증이 없는 경우 의료 전문가는 편도선이 축소되거나 저절로 해결되는지 확인하기 위해 "지켜보고 기다리는" 접근 방식을 권장할 수 있습니다.
기저 질환 치료
편도선이 반복되는 감염이나 알레르기로 인한 경우 기저 질환을 치료하면 염증을 줄이고 편도선을 축소하는 데 도움이 될 수 있습니다.
외과적 개입
호흡 곤란, 수면 무호흡증 또는 재발성 감염을 유발하는 심각하거나 지속적인 비대가 있는 경우 의료 전문가는 편도선 절제술(편도선의 외과적 제거)을 권장할 수 있습니다.
관리 (생활 팁)



좋은 구강 위생을 실천
- 편도선 문제에 기여할 수 있는 박테리아와 플라크 축적을 제거하기 위해 혀를 포함하여 하루에 두 번 양치질을 철저히 하십시오.
- 박테리아가 축적되어 편도 결석 형성 및 구취의 원인이 될 수 있으므로 혀 스크레이퍼를 사용하여 혀 표면을 부드럽게 닦으십시오.
- 매일 치실을 사용하여 편도선 문제의 원인이 될 수 있는 음식물 찌꺼기와 치아 사이의 박테리아를 제거하십시오.
건강한 라이프스타일 유지
- 매일 충분한 양의 물을 마셔 수분을 유지하십시오. 이는 구강 건조증을 예방하고 타액 생성을 촉진하여 입과 편도선 부위의 박테리아와 이물질을 씻어내는 데 도움이 됩니다.
- 건강한 면역 체계를 지원하기 위해 과일, 채소, 통곡물 및 저지방 단백질이 풍부한 균형 잡힌 식단을 섭취하십시오.
- 편도선을 자극하고 염증을 일으킬 수 있으므로 매운 음식이나 산성 음식과 같은 자극제 섭취를 제한하거나 피하십시오.
흡연 및 간접흡연을 피하기
- 흡연이나 간접흡연에 노출되면 편도선을 자극하여 편도선 관련 문제의 위험이 증가할 수 있습니다. 담배를 피우는 경우 금연을 고려하고 담배를 피우는 다른 사람들과 함께 있지 마십시오.
좋은 위생 습관을 실천
- 편도선에 영향을 줄 수 있는 감염의 위험을 줄이기 위해 특히 얼굴이나 입을 만지기 전에 비누와 물로 정기적으로 손을 씻으십시오.
- 호흡기 감염이나 감기에 걸린 개인과의 긴밀한 접촉을 피하여 감염 가능성을 최소화하십시오.
즉각적인 치료를 받기
- 재발성 편도선염이나 비대 등 편도선 관련 증상이 지속되거나 심할 경우 전문의와 상담하여 정확한 진단과 적절한 치료 계획을 세워야 합니다.
정기 치과 검진
- 편도선 상태를 포함하여 구강 건강을 모니터링하기 위해 정기적인 치과 검진 일정을 잡습니다. 치과 의사는 편도선 관련 문제의 징후를 식별하고 적절한 지침을 제공할 수 있습니다.
좋은 음식과 요리 방법
저지방 단백질
닭 가슴살 : 향긋하고 단백질이 풍부한 식사를 위해 허브와 향신료로 굽거나 볶습니다.
생선(연어, 참치, 송어) : 레몬을 짜내고 허브를 뿌린 생선을 굽거나 팬에 구워 심장 건강에 좋습니다.
콩과 콩류 : 콩과 콩류를 단백질 및 섬유질 공급원으로 사용하여 수프, 스튜 또는 샐러드를 준비합니다.
통곡물
퀴노아 : 퀴노아를 익혀 샐러드의 베이스나 반찬으로 활용한다.
현미 : 현미를 찌거나 끓여서 볶음, 카레 또는 구운 단백질과 함께 제공합니다.
통밀 파스타 : 통밀 파스타를 요리하고 홈메이드 토마토 소스와 야채를 곁들입니다.
다채로운 야채
구이 : 브로콜리, 피망, 당근, 브뤼셀 콩나물과 같은 야채를 올리브 오일, 소금, 후추와 함께 버무린 다음 부드러워지고 약간 까맣게 될 때까지 오븐에서 굽습니다.
볶기 : 버섯, 완두콩, 청경채 등의 야채를 소량의 기름에 센 불에서 볶아 빠르고 영양가 있는 볶음 요리를 즐겨보세요.
찜 : 시금치, 콜리플라워, 호박과 같은 야채를 쪄서 영양소와 선명한 색상을 유지합니다.
신선한 과일
딸기, 오렌지, 사과, 포도와 같은 신선한 과일을 간식이나 과일 샐러드로 즐기십시오.
과일을 요거트나 우유와 섞어 영양가 있는 스무디를 만드세요.
파인애플이나 복숭아와 같은 과일을 굽거나 구우면 따뜻하고 달콤한 디저트가 됩니다.
건강한 지방
아보카도 : 아보카도를 으깨서 통곡물 토스트에 바르거나 샐러드 드레싱의 크리미한 베이스로 사용하십시오.
견과 및 씨앗류 : 잘게 썬 아몬드, 호두 또는 아마씨를 샐러드, 요거트 또는 오트밀 위에 뿌려 질감과 건강한 지방을 추가하십시오.
올리브 오일 : 엑스트라 버진 올리브 오일을 샐러드 드레싱으로 사용하거나 익힌 야채에 뿌려 건강한 지방을 섭취하십시오.
피해야 하는 음식



가공 식품
고도로 가공된 식품에는 종종 건강에 해로운 첨가물, 방부제, 다량의 첨가당 및 건강에 해로운 지방이 포함되어 있습니다. 여기에는 포장된 스낵, 단 시리얼, 패스트 푸드 및 냉동 식품이 포함될 수 있습니다. 가능할 때마다 가공되지 않은 전체 식품을 선택하십시오.
단 음료수
탄산음료, 과일 주스, 에너지 드링크, 가당 차와 같은 음료는 종종 첨가당 함량이 높으며 영양가가 거의 또는 전혀 없습니다. 이러한 단 음료는 체중 증가, 치아 문제 및 만성 질환의 위험 증가에 기여할 수 있습니다. 더 건강한 대안으로 물, 무가당 차 또는 주입 물을 선택하십시오.
트랜스 지방
트랜스 지방은 프렌치 프라이, 구운 식품 및 일부 마가린과 같은 많은 가공 및 튀김 식품에서 발견되는 인공적으로 생성된 지방입니다. 트랜스 지방은 나쁜 콜레스테롤 수치를 높이고 심장 질환의 위험을 증가시키는 것으로 알려져 있습니다. 식품 라벨을 확인하고 부분 경화유가 포함된 제품을 피하십시오.
과도한 염분
너무 많은 나트륨을 섭취하면 고혈압이 발생하고 심장병과 뇌졸중의 위험이 높아질 수 있습니다. 짠 스낵, 가공육, 통조림 수프, 패스트푸드 섭취를 제한하십시오. 대신 허브, 향신료 및 천연 조미료로 식사를 맛보십시오.
정제된 곡물
흰 빵, 흰 쌀, 일반 파스타와 같은 정제된 곡물은 밀기울과 배아를 제거하여 섬유질과 영양소를 제거하도록 가공되었습니다. 통밀 빵, 현미, 퀴노아, 통곡물 파스타와 같이 섬유질이 더 많고 더 많은 영양분을 제공하는 통곡물을 선택하십시오.
인공 감미료
설탕에 대한 더 건강한 대안처럼 보일 수 있지만 인공 감미료는 여전히 건강에 부정적인 영향을 미칠 수 있으며 단 음식에 대한 갈망에 기여할 수 있습니다. 인공 감미료가 포함된 음식과 음료의 섭취를 제한하십시오.
추가 정보 및 사이트
American Academy of Otolaryngology-Head and Neck Surgery(AAO-HNS) : www.entnet.org
편도선, 편도선, 관련 장애 및 치료 옵션. 그들은 기사, 지침 및 환자 교육 자료를 포함하여 환자와 전문가 모두를 위한 리소스를 제공합니다.
Mayo Clinic: Mayo Clinic : www.mayoclinic.org
기능, 일반적인 장애, 증상 및 치료 옵션을 포함하여 편도선에 대한 다양한 정보를 제공합니다. 의료 전문가가 작성한 신뢰할 수 있고 이해하기 쉬운 기사를 제공합니다.
MedlinePlus : www.medlineplus.gov
National Library of Medicine에서 제공하는 신뢰할 수 있는 온라인 리소스입니다. 자세한 기사, 비디오 및 관련 리소스에 대한 링크를 포함하여 편도선에 대한 광범위한 정보 모음을 제공합니다.
Healthline : www.healthline.com
편도선을 비롯한 광범위한 주제를 다루는 인기 있는 건강 웹사이트입니다. 편도선, 증상, 치료 옵션, 의사를 만나야 하는 시기에 대한 일반적인 질문에 답변하는 의료 전문가가 작성한 기사를 제공합니다.
WebMD : www.webmd.com
편도선과 관련된 기사 및 리소스를 포함하여 평판이 좋은 건강 정보 소스입니다. 내용은 의료 전문가가 검토하고 편도선 건강, 장애 및 치료 옵션의 다양한 측면을 다룹니다.
NIDCD(National Institute on Deafness and Other Communication Disorders) : www.nidcd.nih.gov
편도선 및 관련 상태에 대한 정보를 제공합니다. 의사 소통과 청력에 영향을 미칩니다. 그들은 환자, 가족 및 의료 전문가를 위한 연구 기반 기사 및 리소스를 제공합니다.
이러한 웹사이트는 편도선, 편도선의 기능, 장애, 치료 옵션 및 일반 관리에 대한 귀중한 정보를 제공할 수 있습니다. 특정 편도선 관련 우려 사항이나 상태에 대한 맞춤형 조언 및 치료 권장 사항을 위해 의료 전문가와 상담하는 것이 중요합니다.
'Health' 카테고리의 다른 글
| 주름 없애는 법 (0) | 2023.07.06 |
|---|---|
| 고혈압 떨어뜨리는 방법, 원인, 합병증 (0) | 2023.07.05 |
| 콜레스테롤 고지혈증 : 원인, 증상, 콜레스테롤 종류와 수치, 진단, 관리방법 등 (2) | 2023.07.03 |
| 지방간 증상 및 원인, 치료, 좋은음식 (0) | 2023.06.30 |
| 부정맥의 원인, 증상, 진단 및 사용 가능한 치료법 (0) | 2023.06.29 |